이슈있소
석회성 건염 증상 & 치료법 본문

1. 정의
석회성 건염은 건 조직에 석회가 침착되어 염증이 발생함으로써 통증이 생기는 질환을 의미합니다.
2. 원인
석회성 건염의 원인은 명확하지 않습니다. 다만 많은 경우에 손상된 힘줄에 산소가 부족하거나 힘줄이 자주 눌리면 발생한다고 합니다. 나이에 따른 퇴행성 변화도 관련 있다고 합니다.
3. 증상
석회성 건염의 주된 증상은 매우 극심한 통증이 갑자기 발생하는 것입니다. 팔이 빠지거나 부러진 듯한 심한 통증이 느껴집니다. 통증은 대개 어깨관절 앞부분에서 나타나서, 팔아래로 내려가거나 목으로 뻗치기도 합니다. 어깨 부위를 누르면 심한 통증을 호소합니다. 통증으로 인해 어깨관절 운동 대부분이 제한됩니다. 특히 팔을 앞으로 올리거나 옆으로 올리기가 힘들어집니다. 통증이 심하면 아픈 쪽으로 눕기가 힘들고, 잠을 이루지 못하는 경우가 많습니다.
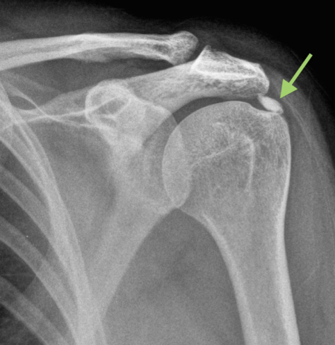
4. 진단
어깨 부위를 X-ray로 촬영하면 하얗게 석회화된 조직이 보입니다. 따라서 X-ray 검사만으로도 쉽게 진단할 수 있습니다.
5. 치료
석회성 건염의 가장 중요한 치료 방법은 초기 통증과 염증 반응을 조절하여 자가 운동 치료가 가능하도록 하는 것입니다. 대부분의 경우 그것만으로도 크게 호전됩니다. 증상이 지속되면 추가적인 처치를 시행할 수 있지만, 치료 효과는 다양합니다. 장기간 증상이 호전되지 않거나 다른 치료에도 반응하지 않으면 드물게 관절 내시경으로 치료하기도 합니다.
'트렌딕, 앎을 선도하다' 카테고리의 다른 글
| 어깨 석회화건염 치료법 (0) | 2023.10.26 |
|---|---|
| 석회성건염 & 마사지 (0) | 2023.10.26 |
| 혈액 맑게 해 혈관 대청소하는 습관 방법 5가지 (0) | 2023.10.25 |
| 혈행 저하 원인 & 혈관을 깨끗하게 관리하는 방법 (0) | 2023.10.25 |
| 피를 맑게 하는 약초 & 겨울에 마시기 좋은 따뜻한 한방차 (0) | 2023.10.25 |
Comments