이슈있소
뇌 석회화란? 파르병 증상, 원인, 진단 검사, 치료 방법 본문
파르병은 기저핵과 대뇌피질에 비정상적인 석회화 침착되는 희귀한 신경퇴행성 질환입니다. 석회화된 침착물은 탄산칼슘과 인산칼슘으로 구성되어 있으며 일반적으로 기저핵, 시상, 해마, 대뇌피질, 소뇌 피질하 백색질 및 치아 핵에 위치합니다. 1930년 독일의 신경학자 Karl Theodor Fahr에 의해 처음 발견되었습니다.

1. 파르병 증상 Symptoms
뇌 석회화는 뇌의 기저핵이라는 부위에서 주로 발생하는데, 해당 부위는 우리 몸의 운동을 시작하고 조절하는 데 중요한 역할을 합니다. 따라서 대표적인 증상 중의 하나가 운동 장애이며 그 외에도 정신과적 또는 행동 문제 등이 발생할 수 있습니다. 또한 석회화는 대뇌피질 및 기타 다른 부위에도 생길 수 있어서 그에 따른 다양한 증상을 유발할 수 있습니다.
파르병의 운동 장애는 서투름, 피로, 불안정한 보행, 느리거나 불명확한 언어, 구음 곤란, 불수의 운동 및 근육 경련을 포함한 다양한 증상으로 나타납니다. 신경학적 평가에 따르면 파킨슨병의 증상들이 57%, 무도병 19%, 떨림 8%, 근긴장이상 8%, 구강안면운동 이상증이 3%에서 나타난다고 합니다.
또한 파르병 환자의 약 20~30%에서 행동 및 정신증상을 보이는데, 이는 집중력과 기억력의 경미한 어려움부터 성격이나 행동의 변화, 정신병 및 치매에 이르기까지 다양합니다. 이밖에도 연하 곤란, 구음장애, 두통, 현훈, 경기, 배뇨 장애 등의 다양한 증상도 나타날 수 있습니다.
2. 파르병 원인 Causes
파르병은 다양한 유전 양상을 보이며, 현재까지 알려진 돌연변이는 6개 유전자가 관련이 있는 것을 추정됩니다. (SLC20A2, PDGFB, PDGFRB, XPR1, MYORG, JAMS2). 대부분의 경우 상염색체 우성으로 유전되나 상염색체 열성이나 기존에 없던 돌연변이가 새로 생기는 형태로도 발병할 수 있습니다.
SLC20A2, PDGFB, PDGFRB, XPR1 네 유전자는 상염색체 우성으로 주로 유전됩니다. 상염색체 우성으로 유전된 경우 부모 중에 한 명이 동일한 유전자 돌연변이를 가지고 있고, 새로운 자녀가 생길 경우 50%의 확률로 질병이 다시 생길 수 있습니다. MYORG유전자는 상염색체 열성으로 유전되며 이 경우 부모 양쪽에서 하나씩 돌연변이를 물려받아 발병하게 됩니다.
정확한 발병 기전은 보다 많은 연구가 필요하나 칼슘과 인상의 혈중 또는 뇌내조절에 문제가 발생하여 칼슘 석회화가 발생하는 것으로 알려져 있기도 합니다. 하지만, 일부 연구의 결과는 이러한 원인를 부정합니다. 한 연구에서 4,219건의 CT스캔을 검토한 결과 대부분의 석회화는 양측 및 대칭으로 발생하는 반면 일부는 일방적으로 발생하며 칼슘 대사에 이상이 없었으며 동시에 칼슘대사의 중요성을 부정하였습니다.
파르병은 내분비장애, 케니 카페 증후군 1형, 비타민 장애, 미토콘드리아 근병증, 신경퇴행성 질환 등과 밀접하게 관련되어 있습니다.
내분비 장애 중 특히, 부갑상선 장애와 관련이 깊습니다. 이러한 이상에는 특발성 부갑상선 기능저하증, 속발성 부갑상선 기능저하증, 가부갑상선 기능저하증, 가성부갑상선 기능저하증 및 부갑상선 기능항진증이 포함됩니다. 부갑상선 기능 저하증 또는 갑상선 호르몬에 대한 신장 반응 감소(가성 부갑상선 기능 저하증)는 고인산혈증 및 저칼슘 혈증을 유발하여 석회화를 촉진합니다. 한 연구에서 파르병 150건의 문헌을 검토해보니, 특발성 부갑성선 저하증이 23.3%, 갑상선 절제술 후 또는 속발성 부갑상선 저하증이 15.3%로 나타났습니다.
파르병은 케니 카페 증후군 1형과 관련이 있는 것으로 알려져 있습니다. 이 증후군은 TBCE 유전자의 돌연변이에 의해 발생하며 성장지연, 장골의 피질 비후, 저칼슘혈증, 갑상선 기능 저하증 및 석회화의 증상이 특징입니다.
비타민 D는 칼슘 대사 과정에서 중요한 역할을 하므로 이것의 항상성 장애는 파르병 환자에게 중요한 영향을 미칩니다. 미토콘드리아 근병증과 칼슘 대사 이상, 혈청 젖산 및 CSF 단백질 증가와의 연관성으로 인해 파르병과 미토콘드리아 근병증과 관련이 있을 것으로 예측됩니다.
3. 파르병 진단 Diagnosis
뇌CT나 MRI와 같은 영상학적 검사에서 시각화된 기저핵 또는 다른 뇌 영역의 석회화가 관찰될 수 있습니다. 이러한 소견과 함께 점차 진행되는 운동 장애 또는 신경정신병적 징후를 포함하는 징행성 신경학적 기능장애등을 근거로 진단합니다. 발병연령은 일반적으로 40-50대이지만, 어린시절에도 나타날 수 있습니다. 대사질환 또는 기타 전신 질환을 암시하는 생화학적 이상 및 특징이 부재하거나, 감염성, 독성 또는 외상성 원인이 부재합니다.
또한 파르병의 원인으로 알려져 있는 유전자들에 대하여 유전자 검사를 시행함으로써 확진할 수 있습니다. 최근에는 기존의 DNA 염기서열 분석법과 함께 차세대 염기서열 분석법을 활용한 검사가 개발되면서 진단에 많은 도움을 주고 있습니다.
진단 방법
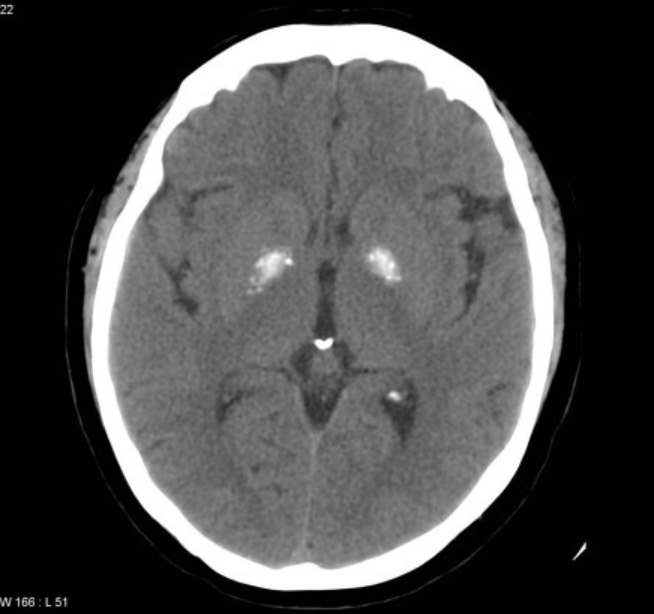
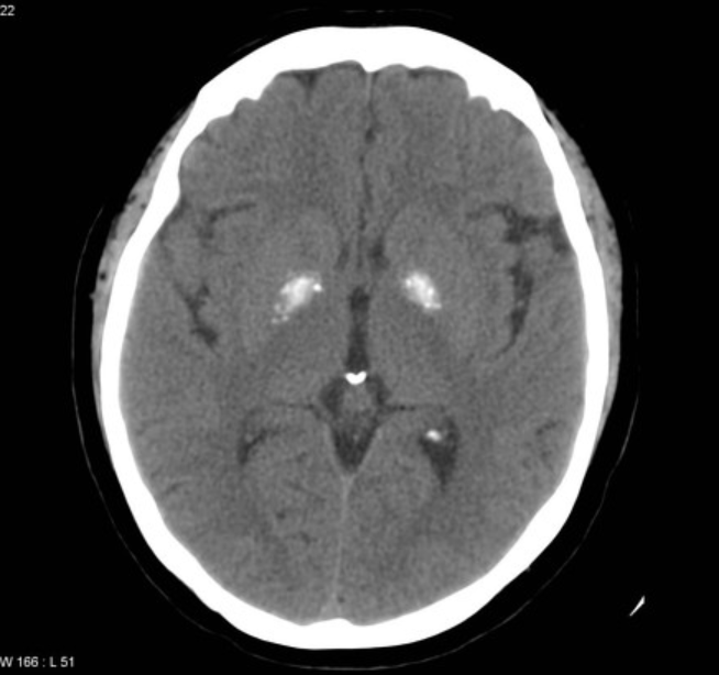
(1) 뇌 컴퓨터 단층 촬영
대뇌 석회화의 정도를 파악하고 평가하는 데 선호되는 방법입니다. 가장 빈번하게 영향을 받는 부위는 수정체 핵, 그 중에서도 내부 창백질이며 소뇌, 뇌간, 피질하 백색질도 영향을 받을 수 있습니다. 피각, 시상, 미상 및 치상 핵의 석회화도 일반적입니다. 칼슘 침착은 기저핵 외부의 영역에서 시작되거나 우세하며, 석회화는 점진적입니다.

(2) MRI
기저핵의 석회화된 영역은 T2이미지에서 낮은 강도의 신호를 제공하고 T1에서 낮거나 높은 강도의 신호를 제공합니다. 소뇌병변은 더 이질적인 것으로 밝혀졌습니다. T1 및 T2이미지 모두에서 반응성 신경교세포 또는 석회화된 영역 내의 퇴행성 조직으로 인해 고강도 신호의 가능성이 있을 수 있습니다.
(3) 두개골 방사선 사진
두개골 방사선 사진은 진단적 가치의 영상화 방식인 것으로 나타났습니다. 석회화는 점상 밀도의 클러스터로 대칭적으로 대칭적으로 Sella Turica 위와 정중선 측면에 분포하는 반면 피질하 및 소뇌 석회화는 물결 모양으로 나타납니다.
4. 파르병 치료 Treatment
파르병의 환자들에게 다양한 치료법이 제안되어 왔습니다. 불안, 우울증, 강박장애를 개선하고 근긴장이상을 완화하기 위해 약물 치료를 사용하기도 합니다. 하지만, 파르병에 대한 특이적인 치료법은 나와있지 않으며, 운동질환, 특히 파킨슨 증상이나 정신과적문제, 기타 동반되는 증상에 대한 적절한 약제를 사용함으로써 도움을 주는 것이 치료의 근간입니다.
환자 본인 및 가족들에 대하여 유전자 상담이 필요하며, 특히 돌연변이가 확인된 경우에는 유전자 검사를 통하여 빠른 진단 및 적절한 치료를 시행해주어야 합니다.
'트렌딕, 앎을 선도하다' 카테고리의 다른 글
| 자궁경부암 수술 환자 퇴원 후 좋은 음식 & 주의사항, 관리방법 (0) | 2023.11.10 |
|---|---|
| 목정맥(경정맥) 위치, 구조, 기능 (0) | 2023.11.10 |
| 관절염에 좋은 음식 오가피 효능 & 오가피차 끓이는 방법 (0) | 2023.11.10 |
| 치매 예방 운동 동작 자세 방법 15가지 (ft. 손가락/발가락/타월) (0) | 2023.11.10 |
| 좌골신경통에 좋은 통증 완화 앉는 자세 (ft. 허리/엉덩이/골반) (0) | 2023.11.10 |